Denti Storti? Mai più con l’apparecchio progettato su misura per Voi a L’Aquila
Per un sorriso smagliante e denti correttamente posizionati, rivolgetevi al Nostro studio odontoiatrico a L’Aquila dove due dentisti esperti specialisti in Ortognatodonzia vi aspettano per garantirvi una terapia ortodontica efficace e innovativa. Il dott. Iancu è socio della SIDO ( Società Italiana di Ortodonzia).
Fissate un appuntamento in studio per una consulenza sui dispositivi moderni impiegati e sulla scelta di apparecchi ortodontici fissi o mobili di ultima generazione adatti al Vostro caso.
Apparecchi ortodontici: come e quando
Il trattamento ortodontico può essere eseguito ad ogni età con dispositivi diversi a seconda delle esigenze di sviluppo del sistema stomatognatico.
Il trattamento INTERCETTIVO può iniziare a 5/6 anni con i primi dispositivi ortodontici fissi e mobili.
Possiamo dire che ad ogni età corrisponde il tipo di trattamento ideale.
Che apparecchi usiamo
In genere preferiamo utilizzare apparecchi "non rimovibili" che necessitano una ridotta collaborazione da parte dei piccoli pazienti, per la loro massima efficacia.
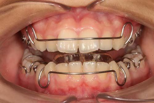
In età pre-puberale vengono utilizzati dispositivi funzionali per correggere discrepanze dento-scheletriche.
Molto spesso ad una fase intercettiva precoce può seguire una seconda fase ortodontica durante l'adolescenza per allineare e far incastrare i denti.
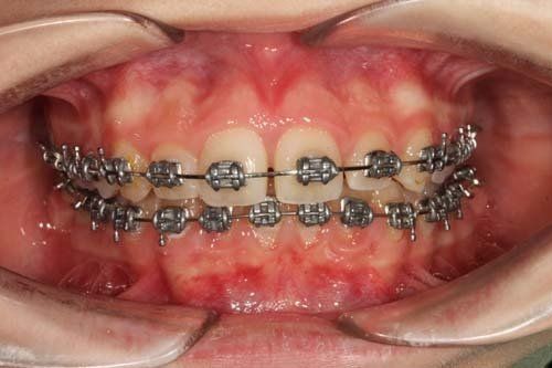
Per gli adolescenti e gli adulti sono raccomandati apparecchi ortodontici fissi oppure apparecchi "invisibili" come gli allineatori ( mascherine invisibili) oppure l'apparecchio linguale.
L'Ortodonzia a tutte le età nel Nostro studio
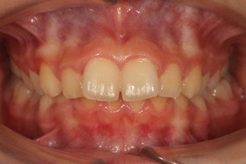
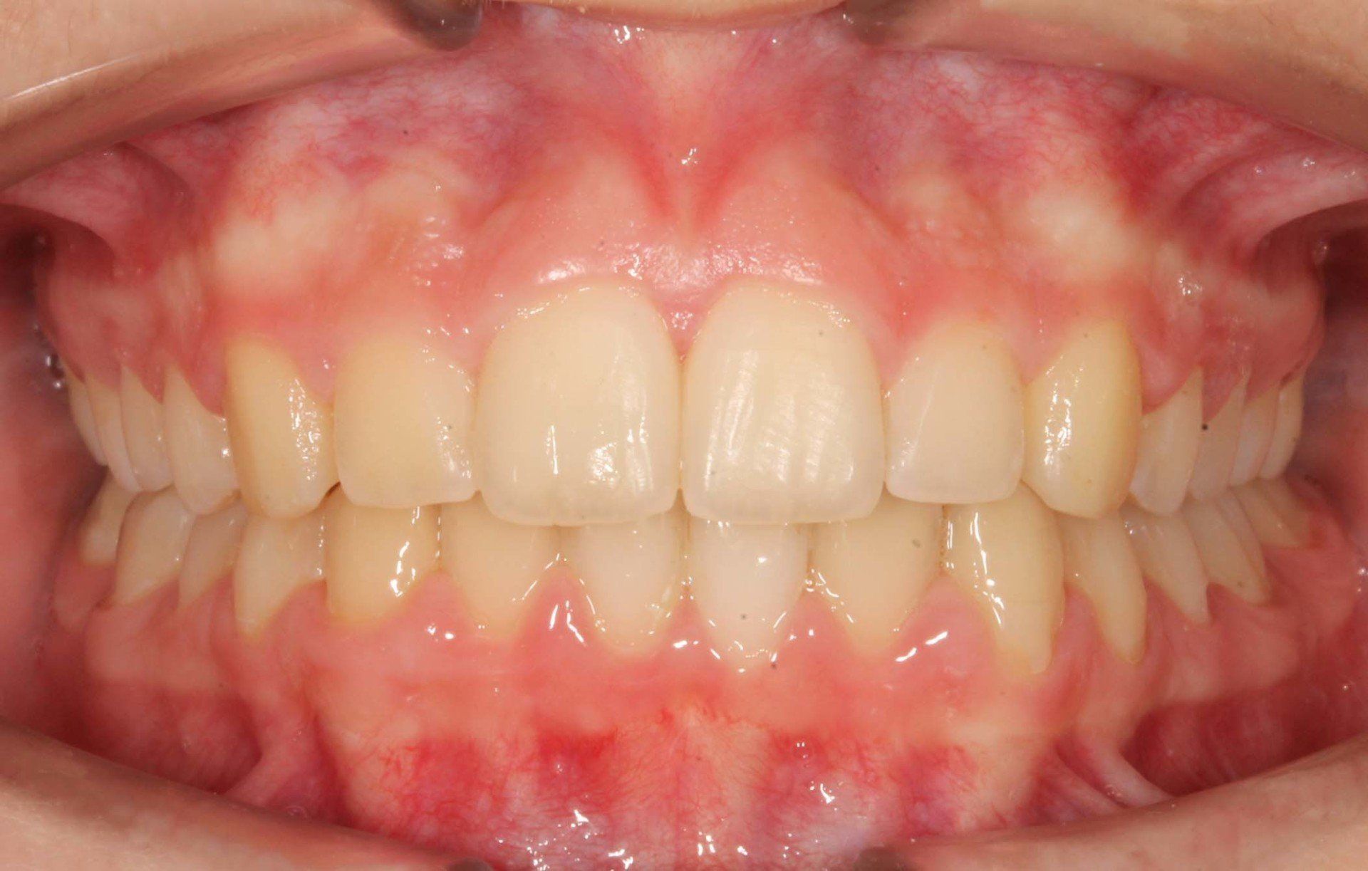
L'ortodonzia è una terapia possibile anche in persone adulte che presentano malocclusioni di ogni gravità, dai semplici affollamenti ( denti storti ) fino a trattamenti multidisciplinari che possono portare a trattamenti ortodontico-implanto-protesici o ortodontico chirurigici.
Ortodonzia intercettiva
Lo Studio Associato Iancu Marchione si occupa di ortodonzia intercettiva nei bambini.
La valutazione precoce verso i 5/6 anni di età permette l’individuazione di eventuali malocclusioni e talvolta dà l’opportunità di un trattamento di intercettamento della comparsa di problematiche più gravi.
Un intervento precoce intercettivo, guida la crescita e lo sviluppo dento-facciale, di fatto prevenendo problematiche più importanti in dentatura permanente.
Se il trattamento precoce non è necessario, l’ortodontista può monitorare attentamente la crescita e lo sviluppo e iniziare il trattamento ortodontico completo al momento ideale. La terapia poi può essere fatta con dispositivi fissi e mobili.
Obiettivi dell’intercettamento precoce
Alcuni dei risultati del trattamento precoce intercettivo sono:
- Creare spazio per denti affollati in eruzione
- Ottenere una simmetria facciale influenzando la crescita facciale
- Ridurre il rischio di trauma su incisivi superiori protusi
- Preservare lo spazio per denti ancora non erotti
- Diminuire la necessità di estrazioni di denti permanenti
- Ridurre il tempo di trattamento dell’ortodonzia in dentatura permanente
Laser a diodo:
Frenulectomia con il laser
Molto spesso, pazienti prima o durante la terapia ortodontica necessitano di frenulectomie per eliminare l'inestetismo creato da questa struttura anatomica molto fastidiosa. Con l'aiuto del laser presente nello studio, questo piccolo intervento diventa facile e confortevole per il paziente.
Laser a diodo:
Canino palatale con il laser
Il laser può essere di aiuto anche nella esposizione di canini in inclusione palatale, per cui l'obiettivo è riposizionare questo elemento dentario nella giusta sede dopo l'esposizione chirurgica e la trazione con l'apparecchio ortodontico.
Dispositivi funzionali
Il trattamento ortodontico ortopedico-funzionale punta a eliminare o ridurre il problema scheletrico nel paziente in crescita in modo da risolvere più facilmente i problemi dentali che rimangono una volta erotti i denti permanenti.
Quando esiste una discrepanza tra i mascellari, la soluzione indicata è la correzione modificando la crescita in età prepuberale (dai 7 anni in poi) per permettere che tale problema scheletrico si risolva nel corso dello sviluppo del bambino. Gli apparecchi impiegati agiscono contemporaneamente nelle due arcate.
Tra le loro azioni: il direzionamento dell’attività muscolare, il condizionamento dello sviluppo e la crescita.
Non promuovono spostamenti dentali importanti perché a questa età il grosso della dentizione è decidua (non avrebbe senso spostare denti che poi verranno sostituiti da altri).
Per un risultato perfetto può essere necessaria la finalizzazione con il tradizionale apparecchio fisso.


