Niente più problemi di eccessiva sensibilità dentale grazie ai dentisti dello studio a L’Aquila
La parodontologia è una branca dell'odontoiatria che studia i tessuti del parodonto (peri = attorno; odons = dente) e le patologie a esso correlate. Il parodonto è costituito da:
- Gengiva
- Osso alveolare
- Cemento radicolare (tessuto che ricopre la radice del dente)
- Legamento parodontale
La parodontologia si occupa quindi dell'insieme dei tessuti molli (il legamento periodontale e la gengiva) e duri (cemento e tessuto osseo alveolare) che circondano il dente e che assicurano la sua stabilità nell'arcata alveolare (in condizioni di salute).
La parodontologia si occupa anche delle malattie che interessano il parodonto: queste vengono chiamate genericamente malattie parodontali o parodontopatie, o piorrea (termine storico oggi ancora utilizzato nella popolazione).
Esse sono le gengiviti e le parodontiti !
Sensibilità dei colletti
Trattamenti della parodontologia
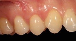
Paziente trattata per una recessione singola per riferita sensibilità su un premolare superiore. L’obiettivo è la copertura radicolare per eliminare la sintomatologia e insieme migliorare l’aspetto estetico.
Copertura radicolare
Cura delle malattie delle gengive
Paziente soddisfatta del risultato estetico per eliminata sintomatologia dopo la copertura radicolare.



